Where Expertise
Meets Gentle,
Personalized Care
Need Dental Services?
Call: 01255 476700Opening Hours
Mon-Friday 10:00 - 18:00Email Us
info (at) admiredclinic.ukDentist in Clacton at Admired Clinic
Looking for a Dentist Clacton? Visit Admired Clinic, Dentist Clacton-on-Sea, for exceptional dental care. We specialize in dental implants, Invisalign, composite bonding, and facial aesthetics.
Welcome To Admired Clinic
Looking for a trusted Dentist Clacton? Admired clinic in Clacton is a modern, fully digital dental practice, proudly serving the community since 1980. Recently upgraded with state-of-the-art digital dentistry, we offer a wide range of treatments designed to give you the healthiest and most confident smile.
As your reliable Dentist Clacton, we are committed to providing exceptional care in a comfortable and friendly environment. Whether you need routine check-ups, cosmetic treatments, or advanced procedures, our team ensures the highest standards of dental care.
For those seeking a private dentist Clacton, we offer personalized treatments tailored to your needs, with competitive pricing and a focus on patient satisfaction. At Admired Clinic, your smile is our top priority.
We believe a trip to the Clacton dentist should be a positive, stress-free experience. At Admired Clinic, we treat every patient like family, offering personalized and affordable dental and facial care in a warm, friendly environment.
Whether you need a routine check-up, cosmetic treatment, or advanced dental work, our experienced team is here to help. If you’re looking for a trusted dentist in Clacton, we provide high-quality care tailored to your needs.
From general dentistry to facial aesthetics, we use the latest technology to ensure effective, comfortable treatments. Your oral health and confidence matter to us — and we’re committed to helping you maintain a healthy, beautiful smile.
Book your appointment today with a caring and professional Clacton dentist. We look forward to welcoming you to our clinic.
Explore our full range of
Dental and Facial Treatments
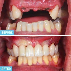
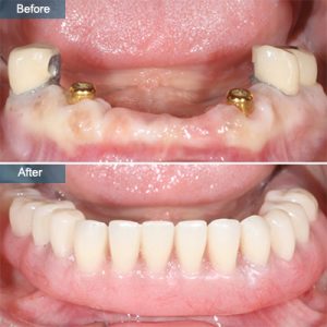
Dental Implants
Dental crowns
Cosmetic Dentistry
Dental Bridges
Botox
Dermal filler
Thread lift
Sculptra
Why Choose Admired Clinic










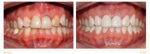
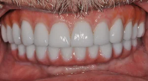
Our Happy Customers
Join thousands of happy patients who trust us for gentle, expert care and beautiful smiles. Your perfect dental experience starts here!
Posted on Julie Rose CollittTrustindex verifies that the original source of the review is Google. Highly recommend. The staff are attentive and make you feel at ease.Posted on Trevor CollittTrustindex verifies that the original source of the review is Google. Great dentists, staff are kind and friendly. Would definitely recommendPosted on Olivia RobertsTrustindex verifies that the original source of the review is Google. Highly recommend this dental practice, great service and excellent care from staff!Posted on DavidTrustindex verifies that the original source of the review is Google. Truly a great dentist, with amazing friendly staff. I would definitely recommend this practice if your looking for a new dentist.Posted on Kristian MuzzelleTrustindex verifies that the original source of the review is Google. I had a fantastic experience at this dental practice. From the moment I walked in, the team were welcoming, professional, and genuinely caring. I wouldn’t hesitate to recommend this practice to anyone looking for high-quality dental care.Posted on Hugo FanningTrustindex verifies that the original source of the review is Google. Excellent attention to detail, very reasonably priced and great customer service! Highly recommend!Posted on Patrycja KuczmikTrustindex verifies that the original source of the review is Google. Amazing service, very professional and friendly.Posted on Shayne RolphTrustindex verifies that the original source of the review is Google. Perfect treatment, quick easy process, lovely customer service 10/10 overall would highly recommend 🙂Posted on Amanda WardTrustindex verifies that the original source of the review is Google. Had composite bonding today and all I can say is what a lovely Dentist and Dental nurse, took time to explain everything and made the whole experience a breeze! Would thoroughly recommend this practise xPosted on LeeTrustindex verifies that the original source of the review is Google. Excellent service. Very friendly and very professional.
Choosing the Right Dentist in Clacton-on-Sea
Finding the right dentist Clacton for your dental needs, from dental implant Clacton to advanced dentistry and facial aesthetics, is an important decision. A skilled Clacton dentist can make all the difference between long-term success and complications. You should expect your dentist to have proven experience, high qualifications, and a commitment to providing exceptional care.
Why Choose Admired Clinic?
At Admired Clinic, we are proud to be recognized as a premium dentist in the Clacton-on-Sea area. Our team offers personalized treatments tailored to your individual needs, whether you are seeking cosmetic dentistry, general dental care, or specialized procedures like dental implants.
We also understand that dental emergencies can happen at any time. That’s why our emergency dentist Clacton service is available to provide urgent care when you need it most. From sudden tooth pain to broken restorations, we are ready to help you quickly and effectively.
Comprehensive Care with Expertise
As a trusted premium dentist and emergency dentist Clacton, our clinic combines modern technology with a patient-focused approach. We ensure every visit is comfortable, efficient, and tailored to maintain your oral health and enhance your smile.
Choosing Admired Clinic means choosing a dentist Clacton with experience, dedication, and a reputation for excellence in dental care and facial aesthetics. Book your appointment today and experience the difference of professional, compassionate dentistry.
Blog
Ready to Book Your Appointment?
Contact us today to schedule your visit and take the first step toward a healthier smile.



